NDP.view2 Image viewing software
NDP.view2 image viewing software provides quick response and intuitive operability. You can observe images in detail like a microscope.
Additionally, it supports more than 10 languages, including Japanese, English, Chinese, and more.
NDP is a registered trademark of Hamamatsu Photonics K.K. (EU, Japan, UK, USA).
Comparable to a map application, allowing you to zoom in and out, and rotate the image.
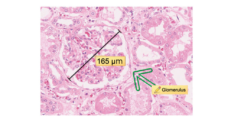
Inserts arrows, drawings, and comments. Also measures the length and surface area of a specified point.
Ability to display multiple images simultaneously opens new possibilities that were previously unavailable with microscopes. This feature allows you to examine the details while maintaining a broader perspective, making it easier to compare different stains in the same viewer. Additionally, the digital slides can be synchronized, to enhance user experience.
| Windows | Mac OS | |
|---|---|---|
| OS | Windows 8.1, Windows 10, Windows 11 32 bit and 64 bit |
macOS 10.15, 11.2, 12 |
| CPU | Core series or faster | Intel multicore processors |
| Memory | 2 GB or more | |
| Available HDD space | 100 MB or more | |
| VGA | Direct X11 or later compatible (Indispensable) | OpenGL 2.0 support |
| Screen resolution | XGA (1024×768) or higher | |
The NDP.view2 is free to use with Hamamatsu format slides. You can download from the links below.
OS: Windows 8.1, Windows 10, Windows 11 (32 bit and 64 bit)
OS: macOS 10.15, 11.2, 12
When the software is installed, NDP.view2 (U12388-01) will become a default viewer to view Hamamatsu slides. If you would like to keep the NDP.view as a default viewer, please refer to the instruction manual.
The NDP.view2 (U12388-01) is only for research use and is not for In Vitro Diagnostic (IVD). If you need to use NDP.view2 for IVD, please contact Hamamatsu's distributor or sales representative.
Instruction manual [4.6 MB/PDF]
Installation to Mac OS 10.8 or upper [0.3 MB/PDF]
This software may not work satisfactorily on some computers. This software may fail to operate due to the operating system or system requirements. Please read the clause of "System requirements".
OS: Windows 8.1, Windows 10 (32 bit and 64 bit)
OS: macOS 10.14, 10.15, 11.2
OS: Windows 8.1, Windows 10 (32 bit and 64 bit)
OS: macOS 10.13 - 10.15
OS: Windows 7, Windows 8.1, Windows 10 (32 bit and 64 bit)
OS: macOS 10.13 - 10.15
2020/04/15
We have received reports of an error (Direct3DError) occurring at startup on some PCs running the initial version of Windows 7 and DirectX 11. The error can be resolved by installing the latest Windows update.
If you receive the error and are unable to update Windows then please use the following older version. We apologize for any inconvenience.
2018/11/15
We got reports from users that an error (Direct3DError) is shown at startup on specific type of Windows PC. In that case please use the following old version. We apologize for any inconvenience.
OS: Windows 7, Windows 8.1 (32 bit and 64 bit)
OS: OS X 10.9 - 10.11
NDP.view2 Plus is designed to maximize the benefits of whole slide viewing with advanced tools for intuitive user experience.
This software was developed based on customer demands for highly convenient functions that match their observation goals.
Supports file formats beyond the native Hamamatsu images (NDPI extension). It enables viewing of images from other scanner manufacturers, including SVS, SCN, MRXS, CZI, and VSI image formats.
*The loading of all image data is not guaranteed.
Enables users to count objects within a specified annotation. The results can be saved as CSV files.
Allows for the control of the Look Up Tables (LUT) by easy adjustment of the import and export light intensity and control of the histogram and line profile.
| NDP.view2 U12388-01 | NDP.view2 Plus U12388-02 | ||
|---|---|---|---|
| Basic operations | Zoom in and out | 〇 | 〇 |
| Digital zoom (8×) | 〇 | 〇 | |
| Scrolling | 〇 | 〇 | |
| Image rotation | 〇 | 〇 | |
| Image export | 〇 | 〇 | |
Effective functions for slide observation |
Image control | 〇 | 〇 |
| Thumbnails | 〇 | 〇 | |
| Multiview | 〇 | 〇 | |
| Annotation | 〇 | 〇 | |
| Stepless zoom | 〇 | 〇 | |
Functions necessary for specific observation and analysis |
Supporting non-Hamamatsu WSI format images | ー | 〇 |
| Counting by mouse clicking | ー | 〇 | |
| Track map export | ー |
〇 | |
| Report export | ー | 〇 | |
| Review | ー | 〇 | |
| Case view | ー | 〇 | |
| TMA code record | ー | 〇 | |
| Magnifier | ー | 〇 | |
| Grid overlay | ー | 〇 | |
Effective functions for fluorescent image observation (for NanoZoomer S60) |
Color selection for fluo | 〇 | 〇 |
| Line profile, histogram | ー | 〇 | |
| LUT control | ー | 〇 | |
It looks like you're in the . If this is not your location, please select the correct region or country below.
You're headed to Hamamatsu Photonics website for US (English). If you want to view an other country's site, the optimized information will be provided by selecting options below.
In order to use this website comfortably, we use cookies. For cookie details please see our cookie policy.
This website or its third-party tools use cookies, which are necessary to its functioning and required to achieve the purposes illustrated in this cookie policy. By closing the cookie warning banner, scrolling the page, clicking a link or continuing to browse otherwise, you agree to the use of cookies.
Hamamatsu uses cookies in order to enhance your experience on our website and ensure that our website functions.
You can visit this page at any time to learn more about cookies, get the most up to date information on how we use cookies and manage your cookie settings. We will not use cookies for any purpose other than the ones stated, but please note that we reserve the right to update our cookies.
For modern websites to work according to visitor’s expectations, they need to collect certain basic information about visitors. To do this, a site will create small text files which are placed on visitor’s devices (computer or mobile) - these files are known as cookies when you access a website. Cookies are used in order to make websites function and work efficiently. Cookies are uniquely assigned to each visitor and can only be read by a web server in the domain that issued the cookie to the visitor. Cookies cannot be used to run programs or deliver viruses to a visitor’s device.
Cookies do various jobs which make the visitor’s experience of the internet much smoother and more interactive. For instance, cookies are used to remember the visitor’s preferences on sites they visit often, to remember language preference and to help navigate between pages more efficiently. Much, though not all, of the data collected is anonymous, though some of it is designed to detect browsing patterns and approximate geographical location to improve the visitor experience.
Certain type of cookies may require the data subject’s consent before storing them on the computer.
This website uses two types of cookies:
This website uses cookies for following purposes:
Cookies help us help you. Through the use of cookies, we learn what is important to our visitors and we develop and enhance website content and functionality to support your experience. Much of our website can be accessed if cookies are disabled, however certain website functions may not work. And, we believe your current and future visits will be enhanced if cookies are enabled.
There are two ways to manage cookie preferences.
If you don’t want to receive cookies, you can modify your browser so that it notifies you when cookies are sent to it or you can refuse cookies altogether. You can also delete cookies that have already been set.
If you wish to restrict or block web browser cookies which are set on your device then you can do this through your browser settings; the Help function within your browser should tell you how. Alternatively, you may wish to visit www.aboutcookies.org, which contains comprehensive information on how to do this on a wide variety of desktop browsers.
Occasionally, we may use internet tags (also known as action tags, single-pixel GIFs, clear GIFs, invisible GIFs and 1-by-1 GIFs) at this site and may deploy these tags/cookies through a third-party advertising partner or a web analytical service partner which may be located and store the respective information (including your IP-address) in a foreign country. These tags/cookies are placed on both online advertisements that bring users to this site and on different pages of this site. We use this technology to measure the visitors' responses to our sites and the effectiveness of our advertising campaigns (including how many times a page is opened and which information is consulted) as well as to evaluate your use of this website. The third-party partner or the web analytical service partner may be able to collect data about visitors to our and other sites because of these internet tags/cookies, may compose reports regarding the website’s activity for us and may provide further services which are related to the use of the website and the internet. They may provide such information to other parties if there is a legal requirement that they do so, or if they hire the other parties to process information on their behalf.
If you would like more information about web tags and cookies associated with on-line advertising or to opt-out of third-party collection of this information, please visit the Network Advertising Initiative website http://www.networkadvertising.org.
We use third-party cookies (such as Google Analytics) to track visitors on our website, to get reports about how visitors use the website and to inform, optimize and serve ads based on someone's past visits to our website.
You may opt-out of Google Analytics cookies by the websites provided by Google:
https://tools.google.com/dlpage/gaoptout?hl=en
As provided in this Privacy Policy (Article 5), you can learn more about opt-out cookies by the website provided by Network Advertising Initiative:
http://www.networkadvertising.org
We inform you that in such case you will not be able to wholly use all functions of our website.
Close